Well its been 3 weeks back in the land of the not quite dead so lets review the tape. We will start with the good news as it wont take long. The dreaded lurgy may finally be cracked, boxed and buried. Basically been crook since got COVID on Boxing Day and then a new bug in USA with two days sunshine in between. Speaking of which, the hottest dryest summer on record almost washed the house away and certainly buried the golf course. Finally some solid mowing there yesterday and first game of golf for about 6 weeks tomorrow. If I wasnt a natural talent I may struggle to play to handicap. Mind you this may be final year of golf anyway for a number of reasons and not including that in the good news section.
Speaking of supreme physical specimen was doing some leg stretches on Saturday just in case a late call up for Paris Olympics. Noticed a new sensation in the general vicinity of the fused ankle. Now a fused ankle comes with a range of sensations even 18 months post surgery. One new one would not be in excess would it?
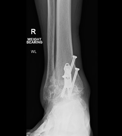
This one felt like a couple of cold needles pressed into flesh above ankle on left. If I have any more issues with this ankle then I am screwed. Actually as it turns out, I am unscrewing. If we review the tape from 18 months ago and 18 hrs ago I think we see the problem.

I am no Orthopod but doubt that is supposed to happen especially if associated with vague pain. Contacted surgeon but he was at a Meccano Retrospective in Birdsville for the weekend. So, physician heal thyself. What I found is that after 3 hours mowing on Sidewinder the ankle is so swollen that you no longer see the screws. Yay. Sadly around midnight the swelling has decreased and the feeling of someone dripping cold water on your ankle returns. Of course could also indicate another pee stop is needed after 5 hrs sleep. Lets move further north as the Bishop said to the Actress. We can probably safely assume that the left shoulder is as good as its going to get so lets file this away in the “definitely not good news” folder. Its not debilitating as such but certainly limited movement for certain exercises like military presses etc. If the right shoulder is the benchmark (for doing benchpresses) and we give it a 9.5/10 score then the left shoulder comes in at 7.1 I guess. (gave it an extra 0.1 cause its way cool having matching scars). Which reminds me, the tatt hasnt washed off yet. Yay. The real issue with these continuing medical situations (apart from cost!) is it makes it virtually impossible to get into any routine of gym, golf, walking, ice skating….One thing I know about me is that I need physical activity to keep the kgs at bay. Simply eating better doesnt do it if sit around all day. And before you say it I hate bike riding whether moving or stationary. There was that one time 10 years ago when it felt really great until after 10 minutes realised the seat had fallen off at the start. On a side note never understand people who go to the gym just to use walking treadmills. Duh?
No great desire to return to the USA at this stage so thats good. Also good not to be constantly monitoring Qantas flight delays. CLP is always gagging for OS travel so we looked at places where the exchange rate is not too bad and settled on Canada. The plan then is a few weeks in September this year just checking out some major cities like Vancouver and Toronto but not venturing into Bear country or even a Miffed Moose hopefully.
After that can probably pack the passport away. Apparently…. too soon? Did note this week that Qantas is hiking the price of Club membership so maybe thats a sign. Never been a very frequent flyer anyway but do enjoy some perks when I do.
The usual Della Clanfest is on again this Easter at Flashman Inc, Rainy Coast. Taking a few choccie eggs for the girls and a Phillips Head screwdriver just in case. In the meantime days are easily filled in with the biggest issue facing a troubled world at present but I am on the case


